Minimal İnvaziv veya Mini-Open Nedir?
Halluks valgus ortopedinin en sık cerrahi tedavi yöntemi ile takip edilen ya da tedavi edilen hastalık gruplarından bir tanesidir. Minimal invaziv, bu alanda yapılan yeni gelişmelerden bir tanesidir. Bütün ortopedide kabaca son 15 yıl içerisinde tüm işlemleri yaparken; minimal invaziv ya da mini Open olarak adlandırdığımız küçük açılımlı cerrahiler yapmaya çalışılmaktadır.
Bugün minimal invaziv ya da mini Open olarak adlandırılan bu cerrahi tedavinin tercih edilmesi ya da üzerinde çalışılmasının birçok ana sebebi bulunmaktadır. Bu teknolojik gelişmelerin altında yatan en büyük sebepler;
- Ameliyat bölgesi / yara bölgesi ile ilgili olarak daha az enfeksiyonla karşılaşmak,
- Daha az kozmetik problemlere yol açmak ve
- İyileşme süresini daha hızlı bir şekilde halledilmesini sağlamaktır.
Halluks valgus ayak probleminde aslında klasik olarak yapılan geleneksel ameliyatların hepsi tamamen bildiğimiz açık yöntemlerle yapılmaktadır. Açık yöntemlerle yapılan cerrahilerin başarı oranlarının yüksek olduğu bilinmektedir. Biz şunu çok net biliyoruz ki; bütün ortopedik işlemlerde yapılan cerrahininin insizyonu yani yaranın açılma miktarı ne kadar az olursa hastanın ayağa kalkma süresi, iyileşme süresi, enfeksiyon riski gibi problemlerin hepsi çok daha az görülmektedir. O yüzden son yıllarda acaba halluks valgus ameliyatında minimal invaziv olarak yapma şansımız var mı üzerine bir çalışma yürütülmektedir. Teknik olarak on yıl öncesinde başlayan bu çalışmalarda son beş yılda çok ciddi bir yol kat edilmiş ve beş yıldan beri özellikle Amerika’daki ve Avrupa’daki bazı kliniklerde minimal invaziv işlemler başarıyla yapılmaya başlanmış durumdadır.
Minimal İnvaziv Cerrahisi için Uygun Muyum?
Yapmış olduğumuz takipler sonrasında bu hastaların sonuçların iyi olması nedeniyle; bu konuya bir ilgi artışımız söz konusu oldu ve bu konuyla ilgili gerekli eğitimleri aldıktan sonra minimal invaziv cerrahi üzerine biz de çalışmalarımıza başladık. Son bir yılda uygun hastalarımıza biz de minimal invaziv cerrahiler gerçekleştirmeye başladık. Buradaki en önemli nokta şu; halluks valgus ayak probleminde biliyorsunuz ki ayağın yapısına ve anatomik yapısının gerekliliklerine göre muhtelif ek tedaviler yapmak söz konusu olabilmektedir.
Özellikle düztabanlık ya da romatizmal hastalığı olan kişilerde ciddi ek tedaviler gerekir. Minimal invaziv cerrahi bu tip hastalar için uygun bir cerrahi yöntem değildir. Burası çok önemli minimal invaziv cerrahi / minimal invaziv yöntem sadece ve sadece “pure halluks valgus” olan ve ek tedavi gerektirmeyen hastalar için yapılabilecek bir uygulamadır. Bu uygulamada düz tabanlık probleminin düzeltilmesi ya da romatizmal problemlerde ortaya çıkabilecek olan sorunlara yönelik olan füzyon ameliyatlarının gerçekleştirilmesi mümkün değildir.

Yine aynı şekilde artık halluks valgus probleminde biliyorsunuz bizim için derece çok önemlidir. Hastanın ayağında kaç derecelik bir deformitenin olduğuna göre muhtelif farklı ameliyatlar gerçekleştirilmektedir. Minimal invaziv her ayak için uygun olan bir yöntem değildir. Minimal cerrahi genellikle orta düzeydeki ayaklara yani kabaca 30-35 derecelik deformiteleri karşı uygulanabilen bir cerrahi tedavidir. O yüzden bu iki konunun altını bir kez daha çizmemiz gerekiyor minimal invaziv cerrahi her hasta için uygun bir yöntem değildir. Kısacası Minimal İnvaviz veya Mini- Open Cerrahisi; düz tabanlık ya da romatizmal hastalık gibi ek tedavi ihtiyacı olmayan ve ileri düzeyde halluks valgusu olmayan hastalarda uygulayabildiğimiz bir yöntemdir.
Minimal İnvaziv Cerrahisinde Ne Yapılmaktadır?
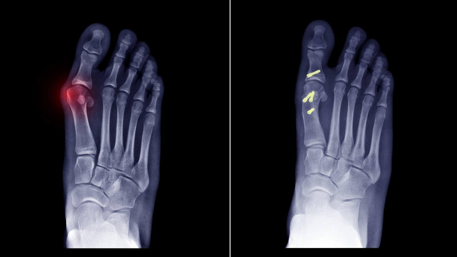
Hastada röntgen cihazı ve scopi cihazı kontrolünde hastanın birinci tarak kemiğin üzerinde belli bölgeleri işaretleyerek küçük açılımlar yapılmaktadır. Buradan kabaca 1 cm’lik iki tane açılım yaparak, tarak kemiğin içindeki açık ameliyatta gerçekleştirdiğimiz o kesilerin özel aletler yardımıyla kapalı yöntemle yapılır. Bu 1 santimetrelik açtığımız alanlarda işaretlemelerimizi yapıyor, röntgen cihazı üstünden kemiğin nereden keseceğimizi tespit ediyoruz tespitini yapıyoruz. Tespit yaptıktan sonra kesilerimizi kapalı yöntemle yapmış oluyoruz. Yine aynı şekilde açık ameliyatta kullandığımız gibi vidalarla tespit etmemiz gerekmektedir. Bu tespitleri yaparken de yine özel cihazlar vasıtasıyla bu vidaları kapalı olarak göndermekteyiz. Hep “özel cihazlar” kelimesini kullanılmasının nedeni; minimal invaziv cerrahi yapılırken en önemli şey buna uygun bir setin varlığının olmasıdır. Bu set olmadan minimal invaziv cerrahinin gerçekleştirilmesi mümkün değildir. Setin ve teknik aksamın varlığında ancak gerçekleştirilebilen bir cerrahi yöntemdir. O yüzden minimal invaziv cerrahi yaparken setin olması bizim için çok çok önemli ve kıymetli bir nokta.

Avantajları Nelerdir?
Minimal invaziv cerrahinin artı değerleri bulunmaktadır. Bunlar;
- İki ya da üç 1 cm’lik dikiş üzerinden bu işlem gerçekleştirildiğinden yara iyileşmesi çok hızlı,
- İz problemleri son derece minimal düzeyde,
- Şişlik de çok az.
Şişliğin az gelişmesinin nedeni; hastalarda yarayı açmadığınız için kemiğin üzerini sadece kapalı olarak gerçekleştirilen işlemlerle düzelttiğiniz için kanama miktarı çok daha az olmasıdır.
Tedavi Süreci Nasıl İlerler?
Minimal İnvaziv yönteminin birçok avantajı bulunmaktadır. Ancak unutmamamız gerekiyor ki; minimal cerrahi yaptığımızda da halluks valgus süreci aynı şekilde işliyor. Çünkü sonuçta kemiğin kaynamasına ihtiyacımız var ve kemik kaynarken geçecek olan süreç tipik bir süreç. Bu süreçte de minimal süreçte de üç hafta içinde hastanın özel bir ayakkabı giyerek geri basmasına müsade edilmektedir.
Ameliyattan sonra hemen ayağa kaldırıyor, hareketleri yapmasına müsade ediyoruz ama hastalarımızın Cam Walker adı verilen özel bir ayakkabıyla yaşamlarını devam etmeleri gerektiğinin altını çiziyoruz. Yine minimal invaziv cerrahi sonrasında ayağın yukarıda tutulması, ayağın dolaşımının sağlanması açısından gerekli buz uygulamaların yapılması ve şişliğin engellenmesi ile ilgili tedbirlerin alınmasının da klasik halluks valgus tedavisinden hiçbir farkı yoktur.
Minimal invazivin tek artı değeri bu noktada yara bakımının son derece basit olması ve hastalarda yara bakımı ile ilgili bir tedavinin komponentinin ortadan kalkmasını sağlamasıdır. Çünkü dikişlerle ilgili bir bakım gerekmemekte, pansumanlar son derece nadir bir şekilde yapılmaktadır. Üçüncü haftanın sonunda minimal invaziv cerrahiden sonra hastanın yere basmasına müsade edilmekte ve hastaların ayakkabıya geçişlerini sağlayarak günlük hayatlarına tekrardan normale dönüş süreçlerine beraber uygulamaya başlanmaktadır.
Minimal invaziv cerrahide bugün için daha ileri ayaklarda yapılan ameliyatlarla ilgili çalışmalar da sürmekte özellikle lapidus adını verdiğimiz bir ameliyatın kapalı olarak yapılmasını ya da mini Open yapılması ile ilgili olarak çalışmalar devam edilmektedir. Bu çalışmalarda gerçekleştiğinde ileri düzeydeki halluks valgusları da yapılabilme seçeneği gündemimize gelecektir. Özetle; minimal invaziv özellikle izole halluks valgus, düz tabanlık ya da romatizmal problem olmayan ayaklar için uygundur. Bu hastalarda özellikle açının 35° geçmemesi bizim için son derece kıymetlidir. Bu hastalarla ilgili olarak artı değerleri kozmetik açıdan daha konforlu, yara bakımı açısından daha konforlu, enfeksiyon açısından daha konforlu, şişlik açısından daha konforlu bir ameliyat sonrası süreci olduğunun altını çizmek de fayda var.
Halluks Valgus Tedavi Süreci ile ilgili videomuzu izlemek için tıklayın
Halluks Valgus Tedavi Süreci ile ilgili olarak daha detaylı bilgi için sayfamızı ziyaret edin.
Halluks Valgus Tedavi Süreci hakkında doğru modern ve uzman kadromuz ile ile iletişime geçin.


Size Ulaşalım!
Bize Ulaşın!